rejuvenecimiento facial

TELEFONO

321 466 2266

diseño de sonrisa bogota

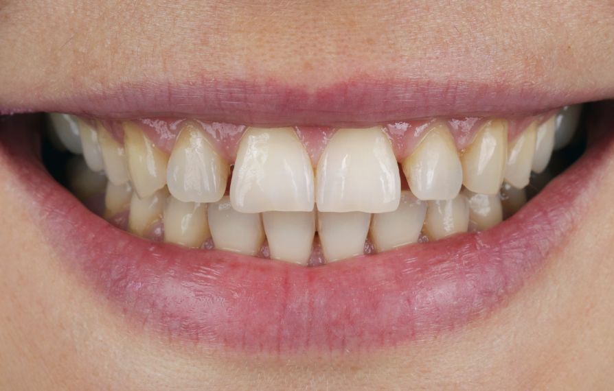
Una sonrisa renovada en una sola cita

Las carillas en resina son una solución estética y conservadora que transforma tu sonrisa de forma rápida, segura y sin necesidad de laboratorio dental. Se aplican directamente sobre el diente en una sola sesión, mejorando la forma, el color y la alineación de tus dientes de manera inmediata y natural.

Este tratamiento es ideal para cerrar espacios, corregir desgastes, cubrir manchas o armonizar la sonrisa sin procedimientos invasivos. Gracias a su técnica de mínima intervención, el desgaste dental es nulo o casi inexistente, lo que preserva al máximo la estructura original del diente.

diseño de sonrisa en cota
carillas dentales en bogota

En solo 1 a 2 horas por diente puedes lograr una sonrisa más armónica, luminosa y funcional. Con los cuidados adecuados, sus resultados pueden durar de 3 a 5 años. Es la opción perfecta para quienes buscan un cambio visible, sin comprometer la salud de su sonrisa.

dra karen parra

Dra. Karen Parra

Soy la Dra. Karen Parra, especialista en Ortodoncia y Ortopedia Dentofacial. Mi pasión es ayudarte a lograr una sonrisa armónica y saludable que potencie tu confianza. Me mantengo en formación constante, integrando tecnología avanzada y tendencias globales para ofrecerte resultados de alto nivel, siempre con calidez y cercanía.